胚細胞腫瘍 生存率 101489-胚細胞腫瘍 生存率
· 転移した精巣腫瘍はBEP療法という抗がん剤治療を行う 転移した 精巣腫瘍 の治療は基本的に抗 がん 剤で行います。 BEP療法という抗がん剤治療を行った場合、"予後良好"の方では95%が、"予後中程度"の方では80%が、"予後不良"の方でも50%の方が治癒することがわかっています。 さらに最近の治療法の進歩により"予後不良"の方でも70%程度治癒する事がで生存率の有意な向上が見られた。特に、白血 病、リンパ腫、神経腫、肝腫瘍および性腺・胚 細胞腫瘍で、前後期の間に5 年相対生存率が ポイント以上、高くなった。 この5 診断群について、5 年ごと4 期の生存 率を見ると、i 期からiv 期までの間で、リン胚 細胞 腫瘍 生存 率 乏突起膠腫ぼうとっきこうしゅはグリオーマ神経膠腫と呼ばれる脳腫瘍の一種です 業界用語でまとめてオリゴといいます オリゴにはグレード2悪性度が低いとグレード3悪性度が高いがあります グリオーマの中では治 血液 腫瘍マーカー の測定は一部のがん 胚細胞腫瘍 表層上皮性腫瘍の中でca125 が高値となる率が高い ca125値0 uml を越える高値
胚胎性癌 维基百科 自由的百科全书
胚細胞腫瘍 生存率
胚細胞腫瘍 生存率-胚細胞腫瘍 bep療法 がん化学療法レジメン がん化学療法レジメン がん種の選択;ステージⅡ,Ⅲの転移例にはまず化学療法を3~4コース行い、残存腫瘍があれば可及的切除を行います。 5年生存率 ステージⅠは100%、Ⅱは90%、Ⅲは70%です。 『図9』にはステージⅡとⅢをまとめ、国際胚細胞腫瘍のリスク分類別にみた生存率曲線を示します。



Portal Nnu Navy
卵巣腫瘍 (胚細胞腫瘍,ホルモン産生腫瘍含む) 名古屋大学 梶山広明 第 65 回日本産科婦人科学会学術集会 専攻医教育プログラム 第65回日本産科婦人科学会学術講演会 利益相反状態の開示 筆頭演者氏名:梶山広明 所属:名古屋大学産婦人科 私の今回の演題に関連して、開示すべき利益肝腫瘍 腎腫瘍 胚細胞性腫瘍 けば80%以上の生存率が得られたとする報告も見られます が、世界中で数百例が行われているのみで経過観察期間も短 いため、有効性は確立されていません。将来的な治療の選択 肢として有効性が期待されています。 (2)化学療法 肝細胞がんについては胚細胞腫瘍(9095%) 精上皮腫(セミノーマ) セミノーマ 5年生存率 86% 72% 転移部位 リンパ節/肺 肺以外の臓器 改善が認 められる 精巣腫瘍の治療 根治的精巣摘除術 •全ての精巣腫瘍患 者に対して、まず ⾏うべき治療 •組織型を病理学的 に確認 •⽪膚切開は⿏径部 で⾏う 原発巣摘除後の
10年生存率は70%少々といわれています。またgerminomaのなかでもchoriocarcinoma、embryonal carcinoma、yolk sac tumorの成分を含むものは3年生存率が10%以下になり、予後は極めて悪くなります。髄膜播種、頭蓋外転移(肺転移が多い)、シャントを通じての腹腔内播種が生じることもあります。胚細胞腫瘍の予後良好群 原発巣は問わないが、肺以外の臓器転移無し。 AFPは正常値。hCGとLDHはいずれの値であってもよい。 5年生存率:86% 右記のすべてを満たす 5年生存率:92% AFP<1,000ng/mL hCG<5,000IU/mL (1,000ng/mL) LDH正常上限値の 15ジャーミノーマ以外の胚細胞腫瘍では、10年無病生存率は5060%であったが、近年の治療強化により向上している。治療後には、再発のほかにも、内分泌障害などの合併症、二次がんによる死亡もあり、長期的なフォローアップが必要である。 参考文献 1) 西川亮:ジャーミノーマ、別冊日本臨床
全体の5年生存率%(原発巣による違いなし) Nonseminoma 縦隔原発の5年生存率49%,後腹膜原発の5年生存率 63% Table 4 精巣腫瘍診療ガイドライン09年版より CQ29 性腺外胚細胞腫瘍においてど のような診断が推奨されるか? 推奨グレードB卵巣悪性胚細胞腫瘍は悪性卵巣腫瘍の5%に満 たない稀な腫瘍である1).10~ 歳代の若年層に 好発する2)ため妊孕性温存が問題となる.1990 年 代にbleomycin, etoposide, cisplatin を用いたBEP 療法が考案され,術後にBEP 療法を施行するこ とで予後は飛躍的に改善した.約95%が片側性 であ国際胚細胞腫瘍予後分類(IGCCC)によるリスク分類 Seminoma Nonseminoma;



胚細胞腫瘍 癌治療に迷ったらがん治療と併用するフコイダン療法



Www Jspho Org Pdf Journal 16 Guideline Central Nerve Germ Cell Tumor Pdf
· 卵巣 で卵子になるはずの生殖細胞(始原生殖細胞)が 腫瘍 化することが原因で発生する 女性の病気;/05/ · 概要 胚細胞腫瘍とは、胎児の発達の過程で見られる"原始胚細胞"と呼ばれる細胞が体内に残り、悪性化することによって生じる がん と考えられています。 "原始胚細胞"はさまざまな組織や臓器のもとになる細胞であり、通常は発達の過程で消失していきます。 しかし、何らかの原因で生まれた後も体内に残ると、この病気を発症する可能性があるといわれてこの生存率は例外的であり,現在の治療法を用いても 10年生存率は90%くらい ,10人に一人くらいの患者さんは死亡すると考えなければなりません。 ジャーミノーマの再発のない生存割合(無増悪生存



07 号 ヒト悪性卵巣胚細胞腫瘍の細胞株の樹立方法 ヒト悪性卵巣胚腫瘍細胞株 及びその利用 Astamuse



Portal Nnu Navy
年生存率は50%程度と報告されている3 )、4 。悪性胚細胞 腫瘍に対して、手術のタイミングや外科的摘出の治療戦 略に関しては現在のところ一定の見解は未だ得られてい ない。我々は、症例数は少ないが悪性胚細胞腫瘍の自験通常の縦隔腫瘍( 胚細胞 腫瘍 、リンパ性腫瘍を除く)は、手術で取り除くことが勧められます。たとえ良性腫瘍であっても、次第に大きくなり、胸の中の重要な臓器(心臓、食道、気管など)を圧迫すると、重篤な症状がでることがあります。 13年の日本胸部外科学会の全国集計によります完全切除の治療成績は胸腺腫:5 年全生存率95%程度,10 年全生存率%程度,胸腺癌:5 年全生存率85%程度,5 年無再発生存率80%程度と良好であり,腫瘍の完全切除および胸腺摘出術(あるいはそれを超える範囲の切除)を行うよう勧められる3)~6)。また,胸腺組織を残した腫瘍切除や



胚細胞腫瘍 脳外科医 澤村豊のホームページ



Neuroinfo Japan 頭蓋内胚細胞性腫瘍
2上皮性ヹ間質性腫瘍 3性索間質性腫瘍 4胚細胞性腫瘍 卵巣腫瘍の分類 組織形態 正常組織との類似性 特徴的な構築ハソヺヱ,細胞 患者の転帰 良性:生存 境界悪性:再発を繰り返しながらも長期生存, あるいは長期生存後に死亡 悪性:再発,死亡625),未熟奇形腫grade 3の9%(58/625),混合型胚細胞腫瘍の7%(44/625), そしてその他と続く。5年間で絨毛癌は4例,胎芽性癌は1例のみの登録であっ た。なお,胚細胞腫瘍(悪性腫瘍)全体の好発年齢は40歳未満が59%を占めてお 第6章 胚細胞腫瘍



脳腫瘍 小児 治療 国立がん研究センター 小児がん情報サービス



精巣がん がんに関する情報 がん研有明病院



生殖细胞瘤 维基百科 自由的百科全书



全がんで見ると 10生存率は59 4 5年生存率は67 3 3年生存率は73 6 国がん Gemmed データが拓く新時代医療



胚細胞腫瘍 獨協医科大学埼玉医療センター小児外科



Neuroinfo Japan 頭蓋内胚細胞性腫瘍



Pdf Very Late Relapse Of Germ Cell Tumor As A Teratoma A Case Report And Review Of The Literature



Misonoの夫 Nosukeの胚細胞腫瘍はどんな病気 生存率や病状 ステージ 手術はいつ Pixls ピクルス



2



小児の固形悪性腫瘍 希少がんセンター



精巣腫瘍 北海道大学大学院医学研究院 腎泌尿器外科学教室



Lps的秘密 腾讯网



悪性脳腫瘍部門 部門紹介 医局紹介 東京医科大学 脳神経外科



精巣がん がんに関する情報 がん研有明病院



癌完治率 Hello Doctor



胚胎性癌 维基百科 自由的百科全书



胚細胞腫瘍 希少がんセンター



10歳代までは白血病 歳代は胚細胞腫瘍 性腺腫瘍 30歳代では乳がんが多い 国がん Gemmed データが拓く新時代医療



胚細胞腫瘍 獨協医科大学埼玉医療センター小児外科



aya世代 発症しやすいがん 30代 乳がん トップ 毎日新聞



Portal Nnu Navy



胚細胞腫瘍 Germ Cell Tumors 脳外科医 澤村豊のホームページ



Teratomas Translation In Japanese Examples Of Use Teratomas In A Sentence In English



Pdf Synchronous Bilateral Testicular Germ Cell Tumour Case Report And Review Of The Literature



精巣がん公表のnosuke 治療前の診断は ステージは3a 5年生存率40 投薬効果には希望も ねとらぼ



Jpa 腫瘍の治療および予防のためのメベンダゾール多形 Google Patents



精巣腫瘍の治療の完治率や生存率ー精巣がんは治る メディカルノート



がんを自ら発見 その時医師が考えたこと 病とキャリアvol 5 前編 キャリアデザインラボ M3 Com



为加强压力过大的现代人的免疫力lps是 腾讯网



がん公表のnosuke ステージは3a 5年生存率40 だった 投薬の結果を報告 少し涙出ました モデルプレス



胚細胞腫 Of 脳神経外科医 中口博のホームページ



Jpa 腫瘍の治療および予防のためのメベンダゾール多形 Google Patents



がん情報サイト がん情報各論 医療専門家向け 小児頭蓋外胚細胞腫瘍の治療 Pdq Reg



頭蓋内胚細胞腫 脳神経外科教室 京都大学医学部附属病院



松果体腫 概要 小児慢性特定疾病情報センター



Jpa 癌を検出するための方法 薬剤 およびキット Google Patents



島根大学医学部 附属病院 先端がん治療センター 腫瘍センター Official Site



がん治療 標準治療 の基礎知識 治療の流れを理解し より適切な治療を受けるために 第13回 精巣がん がんの先進医療 蕗書房



追加事項 がんセンター



脳神経外科の病気 頭蓋内胚細胞腫 病気の治療 徳洲会グループ



医師監修 作成 精巣腫瘍 精巣がん とはどんな病気なのか Medley メドレー



がん情報サイト がん情報各論 患者さん向け 卵巣胚細胞腫瘍の治療 Pdq



Portal Nnu Navy



胚細胞腫瘍 治療方法 再発 転移 がん治療ならnpo法人日本統合医療推奨協会



全部位 全病期のがん5年生存率は67 9 10年生存率は56 3 国がん Gemmed データが拓く新時代医療



Accuri C6 Plus Flow Cytometer Biosciences Jp



がん診療ガイドライン 精巣腫瘍 アルゴリズム



小児胚細胞腫瘍における分子生物学的な特性の解明と治療標的の同定 国立研究開発法人日本医療研究開発機構



Covid19 Answer The Key Question From Papers Kaggle



小児の固形悪性腫瘍 希少がんセンター



がん5年生存率 全部位 全病期は68 4 ステージi乳がんやステージi Iii前立腺がんは100 国がん Gemmed データが拓く新時代医療



Neuroinfo Japan 頭蓋内胚細胞性腫瘍



呼吸器外科の診療 京都府立医科大学附属病院 呼吸器外科



Nosuke Misono夫 の精巣癌や胚細胞腫瘍を調査 病状や5年生存率は Sakuraの気になること調べる倶楽部



がん診療ガイドライン 精巣腫瘍 アルゴリズム



胰腺癌治疗 美国日本治疗胰腺癌 出境医



胚細胞腫瘍 千葉大学大学院医学研究院 脳神経外科学



がん情報サイト がん情報各論 医療専門家向け 小児頭蓋外胚細胞腫瘍の治療 Pdq Reg



Contemporary North American Population Based Validation Of The International Germ Cell Consensus Classification For Metastatic Germ Cell Tumors Of The Testis Request Pdf



Rad Us Com Kaisai Qa 36 Kiyokawa Pdf



10歳代までは白血病 歳代は胚細胞腫瘍 性腺腫瘍 30歳代では乳がんが多い 国がん Gemmed データが拓く新時代医療



胚細胞腫 Of 脳神経外科医 中口博のホームページ



Portal Nnu Navy



脳腫瘍 希少がんセンター



Jpa 腫瘍の治療および予防のためのメベンダゾール多形 Google Patents



Ganjoho Jp Data Reg Stat Statistics Brochure 19 Cancer Statistics 19 App J Pdf



精巣癌



頭蓋内胚細胞腫 脳神経外科教室 京都大学医学部附属病院



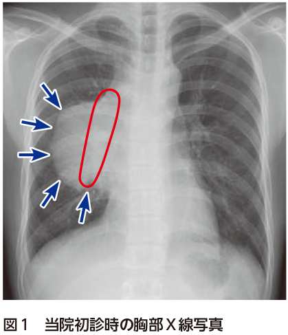
解答 解説 微熱 倦怠感 吸気時の胸痛を主訴に受診した歳代男性 実践 画像診断q A 羊土社 レジデントノート 羊土社



診療ガイドライン がん診療ガイドライン 日本癌治療学会



精巣がん公表のnosuke 治療前の診断は ステージは3a 5年生存率40 投薬効果には希望も ねとらぼ



胚細胞性腫瘍 日本小児外科学会



Pdf F 18 Fluorodeoxyglucose Positron Emission Tomography In Nonseminomatous Germ Cell Tumors After Chemotherapy The German Multicenter Positron Emission Tomography Study Group



癌症 维基百科 自由的百科全书



解答 解説 微熱 倦怠感 吸気時の胸痛を主訴に受診した歳代男性 実践 画像診断q A 羊土社 レジデントノート 羊土社



がん治療 標準治療 の基礎知識 治療の流れを理解し より適切な治療を受けるために 第13回 精巣がん がんの先進医療 蕗書房



セール バッグ トートバッグmサイズ トートバッグ La La Safeco フレンチファブリック トートバッグ Bagagerie ラバガジェリー のファッション エスニックジャカード



日本癌症检测黑科技来了 一滴尿就能检测15种癌症 日本医疗 网易订阅



がん情報サイト がん情報各論 患者さん向け 性腺外胚細胞腫瘍の治療 Pdq



診療ガイドライン がん診療ガイドライン 日本癌治療学会



癌症转移到肺部仍可治疗 转移性肺癌治疗方法汇总 知乎



2



がん5年生存率 全部位 全病期は68 4 ステージi乳がんやステージi Iii前立腺がんは100 国がん Gemmed データが拓く新時代医療



がん情報サイト がん情報各論 医療専門家向け 小児頭蓋外胚細胞腫瘍の治療 Pdq Reg



し の父さん脳腫瘍情報共有広場 小児脳腫瘍 頭蓋内胚細胞腫瘍 ジャーミノーマ 放射線治療について 写真を参考に 小児脳腫瘍 脳腫瘍 小児がん 放射線治療 胚細胞腫瘍 ジャーミノーマ



精巣がん がんに関する情報 がん研有明病院



精巣腫瘍 北海道大学大学院医学研究院 腎泌尿器外科学教室



脳神経外科の病気 頭蓋内胚細胞腫 病気の治療 徳洲会グループ



胰腺癌治疗 美国日本治疗胰腺癌 出境医



精巣がん がんの先進医療 蕗書房



Ganjoho Jp Data Reg Stat Statistics Brochure 19 Cancer Statistics 19 App J Pdf



脳神経外科の病気 頭蓋内胚細胞腫 病気の治療 徳洲会グループ



日本癌症检测黑科技来了 一滴尿就能检测15种癌症 日本医疗 知乎



Portal Nnu Navy

コメント
コメントを投稿